
腫瘍科
(Oncology)
腫瘍科について
人と同じように、犬や猫でも全身さまざまな部位に
「できもの(腫瘤)」が見つかることがあります。
皮膚のしこりだけでなく、乳腺、消化管、リンパ節、口腔内など、
腫瘍が発生する部位は多岐にわたります。
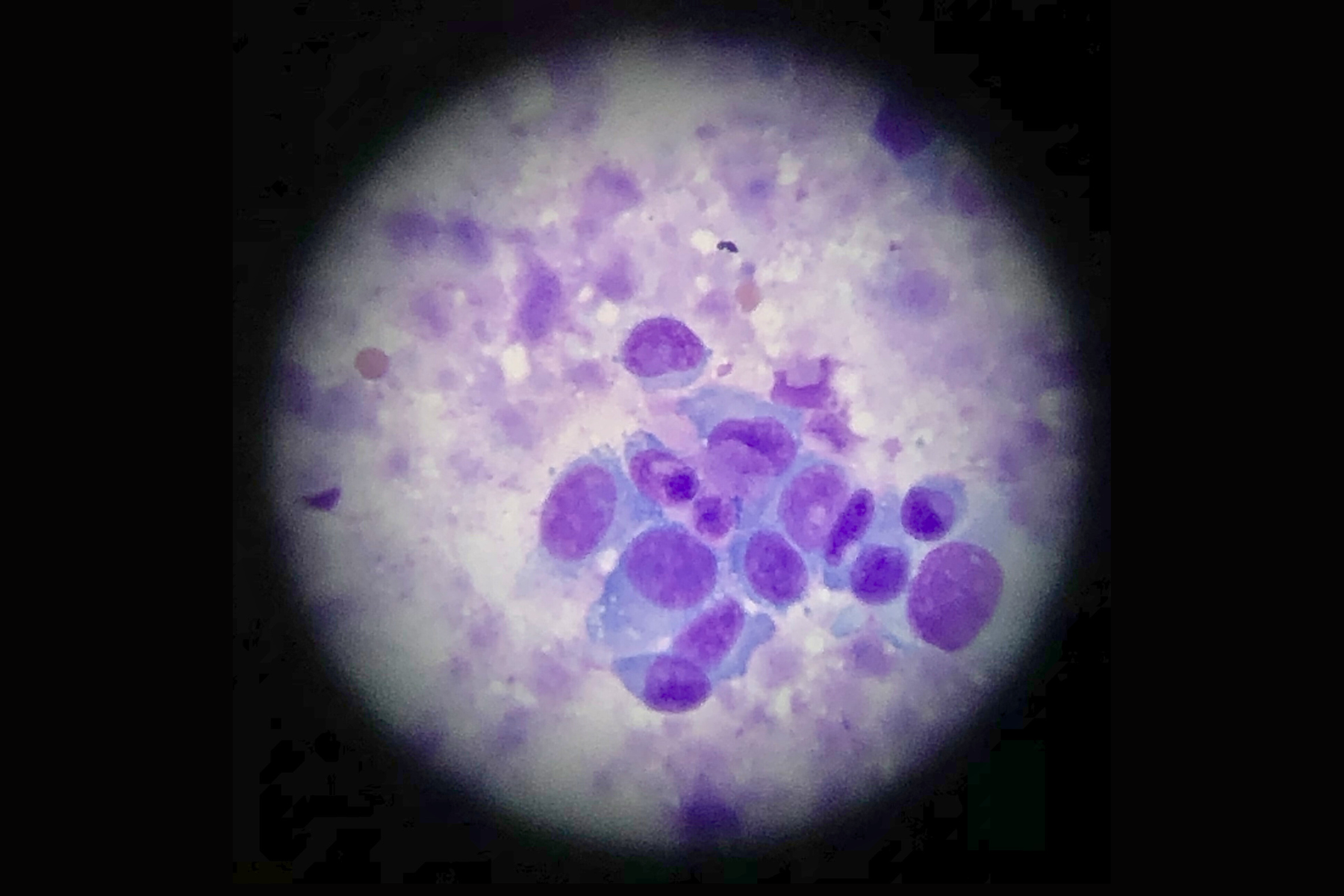
当院では、まず腫瘤を注射針で刺して細胞を採取する
吸引細胞診(針生検)を行い、
炎症か腫瘍かを評価します。
腫瘍が疑われる場合には、より大きな組織を採取する
組織生検を行い、
病理組織検査によって良性・悪性の診断を行います。
診断結果に応じて、外科手術・抗がん剤療法・分子標的薬などの中から、 ご家族と十分に相談しながら治療計画を立てていきます。
こんな症状はありませんか?
以下のような症状がみられる場合は、早めの検査が重要です。
体のどこかにしこり・できものがある
急に大きくなった腫瘤がある
出血しやすい、ただれている
元気や食欲が落ちてきた
体重が減ってきた
口の中の腫れや口臭が気になる
よくある腫瘍の種類
犬で多い腫瘍
① 皮膚腫瘍
犬の腫瘍の約1/3〜1/2は皮膚に関連すると言われています。
- 肥満細胞腫
- 脂肪腫
- 乳頭腫(いぼ)
- 皮脂腺腫/皮脂腺癌
- 扁平上皮癌
皮膚のしこりは見つけやすく、早期発見・治療につながることも多い腫瘍です。
② 乳腺腫瘍
犬では乳腺腫瘍の約半数が悪性とされ、未避妊のメスで発生頻度が高いことが知られています。
乳腺周囲にはリンパ管やリンパ節が多く分布しているため、悪性の場合には転移しやすい腫瘍です。
③ リンパ系腫瘍
- 多中心型リンパ腫
- 消化管型リンパ腫
- 縦隔型リンパ腫
④ 消化器腫瘍
- 胃癌
- 腸腺癌
- 消化管リンパ腫
⑤ 泌尿・生殖器系腫瘍
- 前立腺癌
- 精巣腫瘍
- 膀胱移行上皮癌
猫で多い腫瘍
① リンパ腫
- 消化管型リンパ腫
- 縦隔型リンパ腫
- 鼻腔内リンパ腫
猫のリンパ腫は猫で最も多い腫瘍のひとつで、さまざまな部位に発生します。
治療の中心は抗がん剤による化学療法で、病変の部位や進行度によりステロイド治療や放射線治療を併用することもあります。
② 乳腺腫瘍
猫の乳腺腫瘍は約80〜90%が悪性とされ、進行や転移が早いのが特徴です。
③ 皮膚腫瘍
- 基底細胞腫
- 肥満細胞腫
- 扁平上皮癌
④ 口腔内腫瘍
猫の扁平上皮癌は口腔内や皮膚に発生することが多い悪性腫瘍で、進行が早く痛みを伴うことがあります。
治療は外科手術が第一選択となりますが、発生部位や進行度によっては放射線治療や緩和治療を組み合わせることもあります。
⑤ ワクチン関連腫瘍
- 注射部位肉腫(FISS)
- 線維肉腫 など
ワクチン接種部位にしこりが長期間残る場合は、必ず診察をご検討ください。